InSituPlex Multiplexed Immunofluorescence

Pathology-Grade Performance, Multiplex Power

Achieve high-resolution multiplexed immunofluorescence biomarker detection with the precision, flexibility, and reproducibility needed to accelerate translational and clinical research.

Speak to an Expert
  • Readily Configurable Multiplex Biomarker Panels
  • High-Throughput, Quantitative Spatial Profiling

How InSituPlex Works

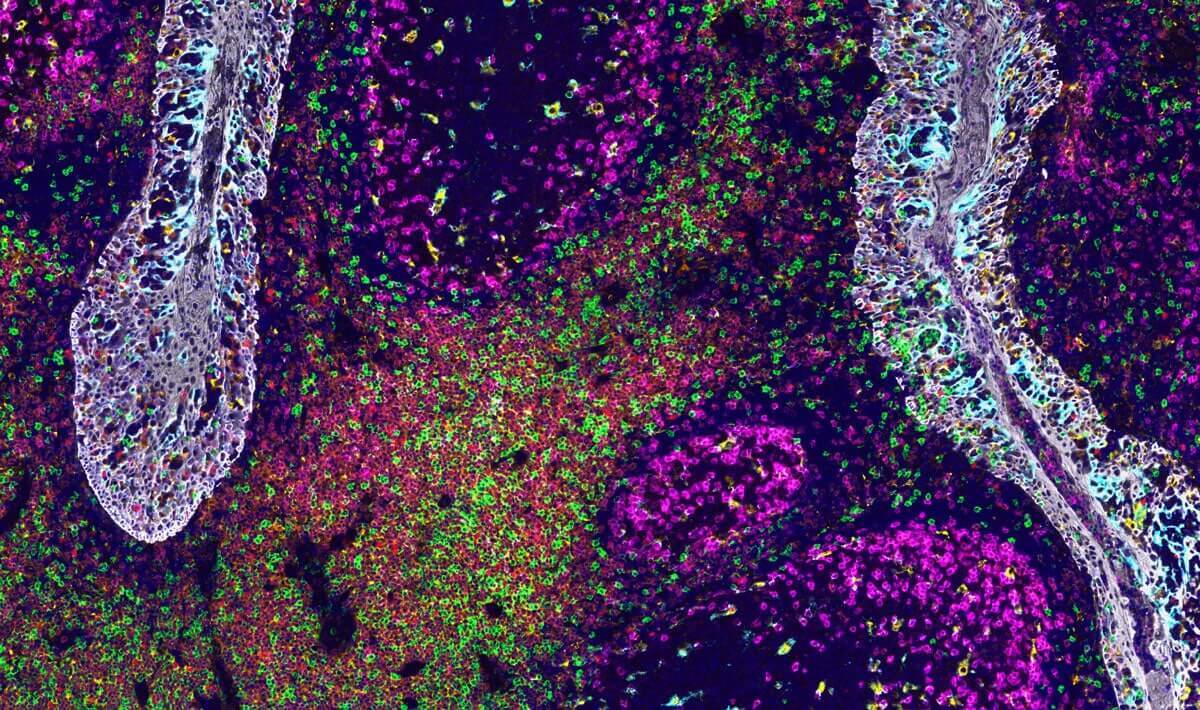
Multiplexed DNA-Barcoded Immunofluorescence

InSituPlex® is a multiplexed immunofluorescence technology that delivers quantitative, pathology-grade biomarker detection with high specificity, sensitivity, and speed across FFPE and frozen samples.

  • Direct Detection
  • Isometric Amplification
  • Sequential Imaging
Image

InSituPlex® uses DNA-barcoded primary antibodies that bind directly to target proteins, eliminating the need for secondary antibodies and reducing background noise. Amplification chemistry then amplifies the fluorescence signal in proportion to the antigen abundance, ensuring a linear and quantitative measurement across both low- and high-expression targets.

Sequential imaging rounds decode multiple biomarkers within the same tissue section, generating precise spatial maps that preserve morphology and reveal co-localized expression patterns across cellular compartments. This streamlined process enables reliable, high-throughput imaging and reproducible quantification from every sample.

Image
  • Direct Signal Amplification – Signal intensity directly reflects antigen abundance for quantitative accuracy. 
  • True Signal Visualization – Co-localizes multiple biomarkers with high dynamic range.
  • High Specificity – DNA-barcoded antibodies minimize background and cross-reactivity.
  • Fast, Gentle Workflow – Simplified process preserves tissue morphology.
  • Concordance with Pathology Gold Standard (DAB) – Proven alignment with traditional immunohistochemistry.
Get Started With InSituPlex Today

InSituPlex Sets a New Standard in Multiplexed Immunofluorescence

High Dynamic Range

Differentiate subtle biological variations with high-sensitivity detection that captures both low- and high-abundance markers in a single assay, eliminating the need for additional assay optimization.

Expanded Signal-to-Background Ratio

Achieve clear, quantifiable results with optimized amplification chemistry that enhances accuracy and visual clarity across tissue types.

Configurable Multiplex Panels

Select from a validated menu of 30 biomarkers, or extend to 94 developed biomarkers, enabling complete flexibility in panel design.

Pre-Optimized Kits within Weeks

Accelerate research with plug-and-play assays that deliver consistent performance, shorter development timelines (custom panels within 8 weeks), and reproducible results.

Preserved Tissue Morphology

Maintain native tissue architecture with a fast and gentle workflow designed to protect precious clinical and translational samples for downstream multi-omic applications.

Scalable Whole-Slide Imaging

Process hundreds of samples per day,  to scale up discovery, translational, and clinical research studies with pathology-grade precision and consistency.

Explore Spatial Applications

Why Choose InSituPlex?

With InSituPlex®, researchers can:

  • Quantitatively detect multiple biomarkers in one tissue section with pathology-grade precision.
  • Visualize co-localized markers across cells for advanced spatial phenotyping.
  • Preserve tissue integrity while capturing subtle biological variations.
  • Accelerate studies through fast, high-throughput workflows- over 3× faster than traditional methods.
  • Customize validated or expanded panels with OmniVUE and U-VUE for flexible spatial profiling in multiplexed spatial proteomics studies.

More markers. More context. More insight.

Explore InSituPlex Resources

Access eBooks, white papers, posters, and blogs showcasing the latest advancements in multiplex immunofluorescence and spatial proteomics with InSituPlex®.

Image

EBOOK

Co-detection of Protein and RNA biomarkers on FFPE tissue section using InSituPlex® Technology

Download the Ebook
Image

POSTER

High-multiplex automated staining and scanning workflow with Ultivue InSituPlex technology and the Olympus SLIDEVIEW VS200 slide scanner

Download the Poster
Image

EBOOK

Riding the Next Wave of Diagnostic Test Development with InSituPlex

Download the Ebook
If you are interested in applying InSituPlex® to your studies or collaborating on new research, click here to learn more about Vizgen’s engagement programs.

Learn More About InSituPlex Technology

Whether uncovering complex biomarker interactions or accelerating translational studies, InSituPlex® empowers researchers to achieve pathology-grade precision and scalable multiplexing in spatial biology.
Contact Us

FAQ

Top