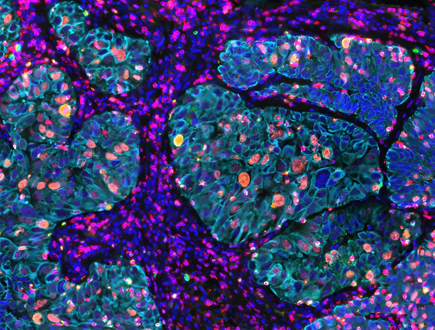
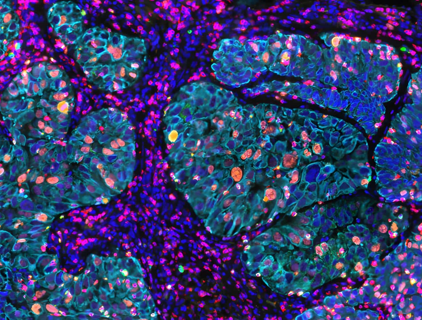
Spatial Proteomics
Gain actionable insights into the tumor microenvironment, immune landscapes, and disease mechanisms with pathology-grade precision, scale, and speed, powered by InSituPlex® technology and STARVUE™ AI-enhanced spatial image analysis.
OmniVUETM Core Biomarker Panels
Pre-validated, ready-to-use biomarker panels use InSituPlex® technology for ultra-sensitive, pathology-grade detection. Trusted by 8 of the top 10 global pharma companies to accelerate ADC and translational research.
U-VUE® Custom Biomarker Panels
Flexible biomarker panels tailored to unique biological questions. Built on InSituPlex® assays with expert assay development, U-VUE® delivers validated marker performance and translational precision across studies.
STARVUE™ Spatial Image Analysis Pipeline
AI-enhanced spatial image analysis platform that transforms complex image data into meaningful biological insights. Quantifies cell phenotypes, co-expression, and proximity while integrating with spatial genomics for multi-omic discovery.
Assay Development & Services
Custom biomarker and panel development, staining and imaging, image analysis assay services (up to 12-target panels) designed to accelerate biomarker discovery. Expert scientists optimize panels for advanced spatial phenotyping, yielding reproducible and high-confidence spatial data.
The VUE Ecosystem
Integrate multiplex imaging, AI analysis, and expert development into one powerful spatial proteomics platform.
Vizgen’s spatial proteomics solutions combine patented InSituPlex® chemistry and STARVUE™ AI-enhanced image analysis to transform multiplex immunofluorescence into clear, quantitative insights. Researchers can map the tumor microenvironment and immune landscape with the sensitivity, scalability, and reproducibility needed for translational and clinical research.
- Precision: Pathology-grade multiplex detection with quantitative consistency.
- Scale: High-throughput analysis of up to 12-target assays for deeper insights.
- Speed: Streamlined workflows accelerate discovery without compromising data quality.
Frequently Asked Questions
-
What makes Vizgen’s proteomics unique compared to other approaches?
-
What sample types are supported?
-
How does the end-to-end workflow help generate actionable insights?
-
Do you offer laboratory services?